E-Line集 ESTHETIC LINE
- 杉並区 阿佐谷矯正歯科医院 ホーム
- E-Line集
E-Line集

E-Line(Esthetic Line)をご存知ですか?
E-Lineとは鼻の先端と下顎の先端を結んだラインで、美人のラインと言われています。
E-Line上に上唇と下唇が位置している、またはE-Lineよりもやや内側に位置していることがお口元を美しく見せると言われています。
E-Lineは矯正の治療計画立案において、横顔(側貌)を評価する基準になります。
矯正で歯並びを整えることはもちろんですが、矯正で作られた歯並びが顔貌と調和していることも重要です。
抜歯症例はお口元を変えることが出来ます。
出っ歯でお口元の突出感を除去し横顔をすっきりさせたい場合や、
受け口で下唇の突出が気になる場合、症例や骨格の問題・前歯の角度にもよりますが、抜歯治療によりお口元突出感の改善が期待できます。
診断内容によっては抜歯をお勧めしないケースもあります。まずはご自身のご希望をお話し下さい。
診断時には抜歯した場合・非抜歯の場合の側貌のシミュレーションをご覧いただけます。メリットデメリットを考慮し、出来るだけご希望に添った治療計画をご提示します。
【矯正治療・装置について】
- 矯正治療の一般的な治療費は60万~150万円、一般的な治療期間は2~3年、一般的な治療回数は24~36回となります。
- 矯正治療は公的健康保険対象外の自費診療となります。
- 薬機法(医薬品医療機器等法)未承認の矯正装置は、医薬品副作用被害救済制度の対象外となります。
- 治療の主なリスク・副作用については、ページ下部をご確認ください。
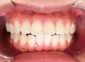
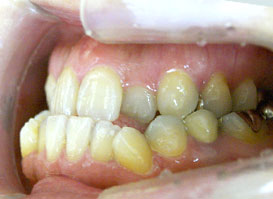
口元症例
口元症例①
- 性別:女性
- 年齢:23歳
- 治療期間:2年8ヶ月
- 治療内容:口元突出感を気にされていました。下唇の突出感もありましたが、上下左右第一小臼歯を抜歯し、マルチブラケット装置で矯正することで美しいE-Lineとなりました。
下唇の形は矯正では変わりませんが、上下前歯の角度の変化により、下唇の突出感も軽減できたように思います。 - 費用:1,062,600円(税込)
- リスク・副作用:治療後の後戻り・歯根吸収・歯髄壊死・歯肉退縮が生じる場合がございます。
BEFORE



AFTER



BEFORE





AFTER





口元症例②
- 性別:女性
- 年齢:20歳
- 治療期間:2年4ヵ月
- 治療内容:出っ歯で口が閉じにくく、前歯が噛み合っていない状態です。
口唇閉鎖不全で、口を閉じても歯が出ている状態、オトガイ筋が緊張し顎にしわがよっています。
前歯が噛み合っていないため、サ行・タ行の発音がしにくくなっています。
上顎左右第一小臼歯(4番目の歯)を抜歯後、ワイヤー矯正を行いました。
出っ歯は改善し、噛み合わせは改善し全体的にしっかりと咬合しました。
口元突出感が取れて横顔はキレイなE-Lineとなり、オトガイ筋の緊張もなくなりました。
発音もきれいになりました。 - 費用:1,223,000円(税込)
- リスク・副作用:治療後の後戻り・歯根吸収・歯髄壊死・歯肉退縮が生じる場合がございます。
BEFORE



AFTER



BEFORE





AFTER





口元症例③
- 性別:男性
- 年齢: 33歳
- 治療期間:1年10ヵ月
- 治療内容:第1小臼歯(4番目の歯)を4本抜歯し、マルチブラケット装置で矯正することで上の出っ歯、下の前歯のデコボコが改善されました。
最も気にされていたお口元の突出感もなくなり、美しい『E-line』なりました。 - 費用:892,500円(税込)
- リスク・副作用:治療後の後戻り・歯根吸収・歯髄壊死・歯肉退縮が生じる場合がございます。
BEFORE

AFTER

BEFORE





AFTER





口元症例④
- 性別:女性
- 年齢:23歳
- 治療期間:3年1ヶ月
- 治療前は口元突出感がありましたが、上下左右第一小臼歯を抜歯し、マルチブラケット装置で矯正することで美しいE-Lineとなりました。
- 費用:1,062,600円(税込)
- リスク・副作用:治療後の後戻り・歯根吸収・歯髄壊死・歯肉退縮が生じる場合がございます。
BEFORE


AFTER


口元症例⑤
- 性別:女性
- 年齢:17歳
- 治療期間:2年4ヵ月
- 治療内容:外科矯正か通常の矯正治療かのボーダーケースでした。
骨格性下顎前突で、前歯部の一部と臼歯部の一部でしか咬合していない状態でした。beforeでは下唇が突出しています。
右下第一小臼歯1本のみ抜歯し、ワイヤー矯正でしっかりとした咬み合わせをつくることができました。
外科矯正ではないため下顎の長さは変わっていませんが、下唇が内側に入り、きれいなE-Lineとなりました。 - 費用:1,266,000円(税込)
- リスク・副作用:歯の移動に伴う歯の痛みや歯ブラシが不十分であると虫歯や歯肉炎を起こす危険性があり、
治療後の後戻りにも注意が必要です。
BEFORE





AFTER





BEFORE



AFTER



口元症例⑥
- 性別:女性
- 年齢:38歳
- 治療期間:2年5ヵ月
- 治療内容:今まで外科矯正が望ましいと言われたことが複数回あったそうです。
骨格性下顎前突・叢生症例です。
前歯部から臼歯部まですべて反対咬合。beforeでは鼻の下の陥凹感、下唇の突出が認められます。
上顎は抜歯していません。
下顎左右第一小臼歯を抜歯し、ワイヤー矯正で治療しました。
反対咬合と鼻の下の陥凹感や下唇の突出が改善し、美しいE-Lineとなりました。
9年後も咬合は安定しています。
※左上第一大臼歯は前医治療後予後が悪く、矯正力をかけていません。
外科矯正ではないため、下顎の長さは変わっていません。 - 費用:950,250円(税込)
- リスク・副作用:歯の移動に伴う歯の痛みや歯ブラシが不十分であると虫歯や歯肉炎を起こす危険性があり、
治療後の後戻りにも注意が必要です。
BEFORE





AFTER





動的治療終了後9年後





BEFORE


AFTER


動的治療終了後9年後


口元症例⑦
- 性別:男性
- 年齢:9歳
- 治療期間:7年1ヶ月
- 治療内容:上顎前方牽引装置・下顎骨成長抑制装置で上顎前方牽引・下顎成長抑制。成長期に治療を開始されたので非抜歯で外科手術なしで仕上げました。
- 費用:1,417,000円(税込)
BEFORE





AFTER





BEFORE


AFTER




口元症例⑧
- 性別:女性
- 年齢: 40歳
- 治療期間:1年9ヶ月
- 治療内容:出っ歯とお口元の突出感を主訴にご来院されました。
抜歯するとお口元が入りすぎて、人によってはお年を召した時に年齢より上に見えてしまうことがあります。
非抜歯で、IPR(Inter Proximal Reduction=歯を削ること)せずに、マルチブラケット装置で仕上げることができました。
抜歯せずに口元突出感を解消でき、美しいE-Lineになりました。 - 費用:1,015,000円(税込)
- リスク・副作用:治療後の後戻り・歯根吸収・歯髄壊死・歯肉退縮が生じる場合がございます。
BEFORE





AFTER





BEFORE



AFTER



リスク・副作用
- 矯正治療の一般的な治療費は60万~150万円、一般的な治療期間は2~3年、一般的な治療回数は24~36回となります。使用する装置、症状や治療の進行状況などにより変化しますので、参考程度にお考えいただき、詳細は歯科医師にご確認ください。
- 機能性や審美性を重視するため、公的健康保険対象外の自費診療となり、保険診療よりも高額になります。
- 最初は矯正装置による不快感、痛みなどがあります。数日から1~2週間で慣れることが多いです。
- 治療期間は症例により異なりますが、成人矯正や永久歯がすべて生えそろっている場合は、一般的に1年半~3年を要します。小児矯正においては、混合歯列期(乳歯と永久歯が混在する時期)に行なう第1期治療で1~2年、永久歯がすべて生えそろったあとに行なう第2期治療で1~2年半を要することがあります。
- 歯の動き方には個人差があるため、治療期間が予想より長期化することがあります。
- 装置や顎間ゴムの扱い方、定期的な通院など、矯正治療では患者さまのご協力がたいへん重要であり、それらが治療結果や治療期間に影響します。
- 治療中は、装置がついているため歯が磨きにくくなります。虫歯や歯周病のリスクが高まるので、丁寧な歯磨きや定期メンテナンスの受診が大切です。また、歯が動くことで見えなかった虫歯が見えるようになることもあります。
- 歯を動かすことにより歯根が吸収され、短くなることがあります。また、歯肉が痩せて下がることがあります。
- ごくまれに、歯が骨と癒着していて歯が動かないことがあります。
- ごくまれに、歯を動かすことで神経に障害を与え、神経が壊死することがあります。
- 治療中に金属などのアレルギー症状が出ることがあります。
- 治療中に、「顎関節で音が鳴る、顎が痛い、口をあけにくい」などの顎関節症状が出ることがあります。
- 問題が生じた場合、当初の治療計画を変更することがあります。
- 歯の形状の修正や、噛み合わせの微調整を行なうことがあります。
- 矯正装置を誤飲する可能性があります。
- 装置を外すときに、エナメル質に微小な亀裂が入る可能性や、補綴物(被せ物など)の一部が破損することがあります。
- 装置を外したあと、保定装置を指示どおりに使用しないと後戻りが生じる可能性が高くなります。
- 装置を外したあと、現在の噛み合わせに合わせて補綴物(被せ物など)の作製や虫歯治療などをやり直す可能性があります。
- 顎の成長発育により、歯並びや噛み合わせが変化する可能性があります。
- 治療後に、親知らずの影響で歯並びや噛み合わせが変化する可能性があります。
- 加齢や歯周病などにより、歯並びや噛み合わせが変化することがあります。
- 矯正治療は、一度始めると元の状態に戻すことが難しくなります。
- ワイヤーの弾力を利用して、内側に傾斜した歯を前に押し出す装置です。
- 機能性や審美性を重視するため、公的健康保険対象外の自費診療となり、保険診療よりも高額になります。
- 大臼歯(奥歯)にセメントで固定するので、自分で取り外せません。食事や歯磨きは装置をつけたまま行ないます。
- 最初は違和感がありますが、数日で慣れることが多いです。
- 装置がついているため歯を磨きにくくなり、むし歯や歯周病のリスクが高まるので、丁寧に歯をみがく必要があります。
- ワイヤーが細いため、装置に詰まった食べ物を無理に取ろうとすると、歪みや破損の原因になります。
- 治療に金属などのアレルギー症状が出ることがあります。
- 歯と歯の間の隙間を少し削ることで歯列を整えるための矯正治療の一手法です。
- IPRは矯正治療の一手法として行ないます。矯正治療は公的健康保険対象外の自費診療となり、保険診療よりも高額になります。
- 歯の痛みや違和感を感じる場合があります。
- エナメル質は一度削ると再生しないため、必要以上のIPRは避ける必要があります。
- IPRを行った部分に、わずかな変色が見られることがあります。
- IPRを行っても、歯並びが再び乱れる可能性があります。