症例集 CASE
症例集
このページでは、実際に当院で矯正治療を受けられた患者さまのなかから、ホームページへの掲載をご了承いただきました方のお写真を掲載させていただいております。ご協力いただき、まことにありがとうございます。
お写真をご覧いただくことで治療の前後を比較できるので、どれぐらい改善したかひと目でおわかりいただけます。
当院では、矯正歯科の専門性を有する女性医師が、美と健康にこだわったきめ細かな治療をご提供しております。お子さまから大人の方までさまざまな症例を診てきたので、矯正治療のことなら当院にご相談ください。
症例
- 叢生非抜歯①
- 叢生非抜歯②
- 叢生非抜歯③
- 叢生(デコボコ) 抜歯①
- 叢生(デコボコ) 抜歯②
- 小児叢生非抜歯
- 小児非抜歯出っ歯
- 小児反対咬合(受け口)非抜歯➀
- 小児反対咬合(受け口)非抜歯②
- 上顎前突(出っ歯) 開咬 叢生
- 上顎前突(出っ歯) 過蓋咬合(深い咬み合わせ)
【矯正治療・装置について】
- 矯正治療の一般的な治療費は60万~150万円、一般的な治療期間は2~3年、一般的な治療回数は24~36回となります。
- 矯正治療は公的健康保険対象外の自費診療となります。
- 薬機法(医薬品医療機器等法)未承認の矯正装置は、医薬品副作用被害救済制度の対象外となります。
- 治療の主なリスク・副作用については、ページ下部をご確認ください。
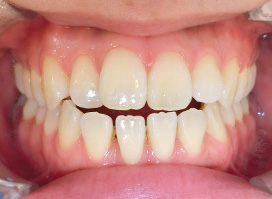
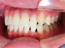
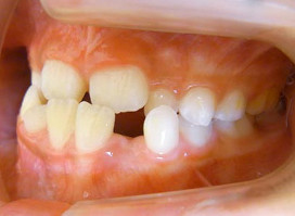
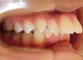
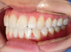
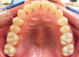
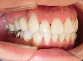
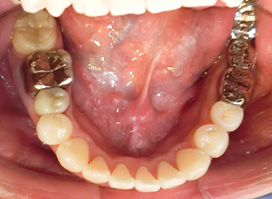
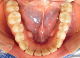
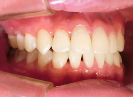
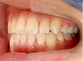
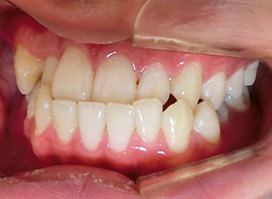
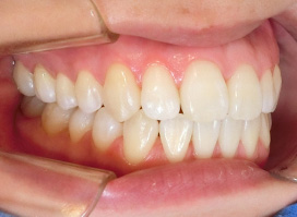
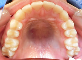
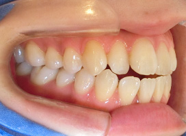
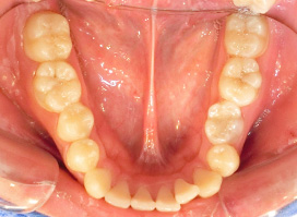
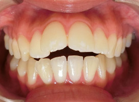
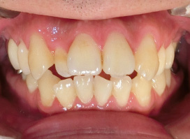
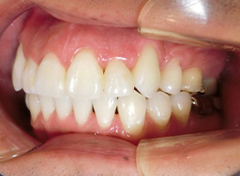
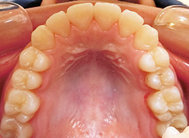
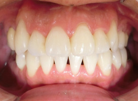
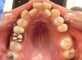
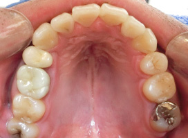
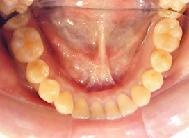
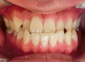
【症例1】叢生非抜歯①
- 性別:女性
- 年齢:32歳
- 治療期間:1年6ヵ月
- 治療内容:著しい叢生でしたが、この症例は抜歯していません。非抜歯でマルチブラケット装置にて治療しました。
- 費用:997,500円(税込)
- リスク・副作用:歯を移動すると幾分か歯根が吸収されて短くなることがあります。
また空隙が生じる場合や歯肉退縮などが生じることもあります。
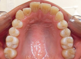
BEFORE
AFTER
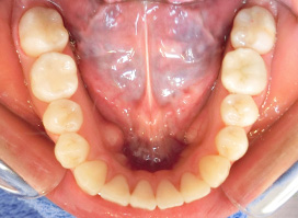
BEFORE
AFTER
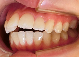
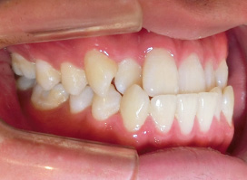
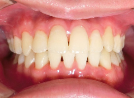
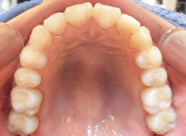
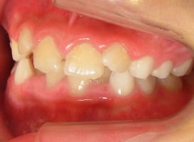
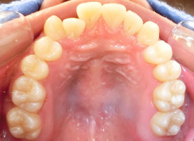
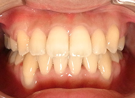
【症例2】叢生非抜歯②
- 性別:男性
- 年齢:22歳
- 治療期間:1年10ヵ月
- 治療内容:側方拡大によりスペースを確保し、非抜歯でマルチブラケット装置で治療いたしました。
- 費用:996,000円(税込)
- リスク・副作用:歯を移動すると幾分か歯根が吸収されて短くなることがあります。
また空隙が生じる場合や歯肉退縮などが生じることもあります。
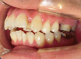
BEFORE
AFTER
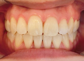
BEFORE
AFTER
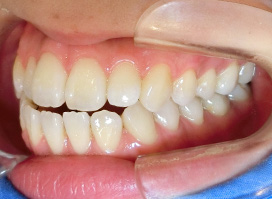
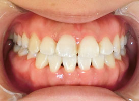
【症例3】叢生非抜歯③
- 性別:女性
- 年齢:33歳
- 治療期間:2年1ヵ月
- 治療内容:叢生 非抜歯 マルチブラケット装置で治療しました。
金属アレルギーをお持ちでしたが、パッチテストを行い陽性が出たものを除いた装置と材料をご準備させていただき、
問題なく矯正治療を終えられました。
当院では、金属アレルギー対応の装置をご用意しても追加料金はいただいておりません。
歯を抜くことなく、しっかり咬み合わせがつき、正中線も一致しました。 - 費用:1,026,000円(税込)
- リスク・副作用:歯を移動すると幾分か歯根が吸収されて短くなることがあります。
また空隙が生じる場合や歯肉退縮などが生じることもあります。
BEFORE
AFTER
BEFORE
AFTER
【症例4】叢生(デコボコ) 抜歯①
- 性別:女性
- 年齢:18歳
- 治療期間:1年7ヵ月
- 治療内容:治療第1小臼歯(4番目の歯)を4本抜歯し、マルチブラケット装置にて治療しました。
- 費用:967,500円(税込)
- リスク・副作用:治療中は、歯の痛みや違和感や矯正装置の刺激による口内炎が生じることがあります。
歯根吸収や歯肉退縮、口腔内の清掃不良による歯肉炎・歯周病、むし歯が生じる場合があります。
BEFORE
AFTER
BEFORE
AFTER
【症例5】叢生(デコボコ) 抜歯②
- 性別:女性
- 年齢:23歳
- 治療期間:2年3ヵ月
- 治療内容:上下左右の第一小臼歯を4本抜歯、マルチブラケット装置にて治療しています。
- 費用:1,026,000円(税込)
- リスク・副作用:治療中は、歯の痛みや違和感や矯正装置の刺激による口内炎が生じることがあります。
歯根吸収や歯肉退縮、口腔内の清掃不良による歯肉炎・歯周病、むし歯が生じる場合があります。
BEFORE
AFTER
BEFORE
AFTER
【症例6】小児叢生非抜歯
- 性別:男性
- 年齢: 9才
- 治療期間:6年2ヵ月
- 治療内容:この症例は抜歯していません。
アーチが狭く歯のサイズが大きいため、拡大床で側方拡大を行い、マルチブラケット装置を用いて非抜歯で永久歯列を完成させました。 - 費用:1,026,000円(税込)
- リスク・副作用:歯を移動すると幾分か歯根が吸収されて短くなることがあります。
また空隙が生じる場合や歯肉退縮などが生じることもあります。
BEFORE
AFTER
BEFORE
AFTER
【症例7】小児非抜歯出っ歯
- 性別:男性
- 年齢:12歳3ヵ月
- 治療期間:4年5ヵ月
- 治療内容:成長を利用した非抜歯症例です。
初診時は上の前歯が過度に出ていて、お顔を横から見ると、唇を閉じても前歯が見えており、 お口元の突出感がありました。また、噛み合わせが深く、下の前歯が上の歯肉を噛んでいました。
成長のピークを迎えられる前に矯正治療をご希望され、下顎前方誘導装置と下顎の成長を利用して下顎を前方に誘導し、歯列弓側方拡大(歯列を横に広げること)と大臼歯遠心移動(大臼歯を奥に移動させること)により、抜歯せずにマルチブラケット装置で治療しました。
治療後はお口元の突出感がなくなり、とても美しい横顔へと仕上がりました。
第2大臼歯(7番目の歯)が生えてくるのが遅かったので、治療期間は4年5ヵ月でした。 - 費用:787,500円(税込)
- リスク・副作用:歯を移動すると幾分か歯根が吸収されて短くなることがあります。
また空隙が生じる場合や歯肉退縮などが生じることもあります。
矯正治療の開始時期について、よくご質問を受けます。
「永久歯が全部生え揃わないと矯正治療はできない」と思われている方も多いようです。
たしかに、大人になってからでも矯正治療は可能です。しかし、成長期にあるお子さまのうちに治療を始めることで、さまざまな治療方法から選択できるので、抜歯の可能性を低くすることができます。
BEFORE
AFTER
【症例8】小児反対咬合(受け口)非抜歯➀
- 性別:男性
- 年齢:9歳
- 治療期間:7年1ヶ月
- 治療内容:上顎前方牽引装置・下顎骨成長抑制装置で上顎前方牽引・下顎成長抑制。成長期に治療を開始されたので非抜歯で外科手術なし、マルチブラケット装置で仕上げました。
- 費用:996,000円(税込)
BEFORE
AFTER
BEFORE
AFTER
【症例9】小児 反対咬合(受け口) 非抜歯②
- 性別:女性
- 年齢:8歳
- 治療期間:7年
- 治療内容:小児期に反対咬合を早期に改善・成長観察しながら非抜歯・マルチブラケット装置で仕上げました。
成長とともに下顎の骨も前下方へと大きくなるので、反対咬合の患者さまとはお付き合いが長くなる傾向があります。そのため、患者さまの成長を見守らせていただきました。
治療が長期になったとしても、マルチブラケット装置の治療費は最初に契約書でお約束した以外はいただきません。
名古屋から通院してくださり、ありがとうございました。 - 費用:787,500円(税込)
- リスク・副作用:歯を移動すると幾分か歯根が吸収されて短くなることがあります。
また空隙が生じる場合や歯肉退縮などが生じることもあります。
BEFORE
AFTER
BEFORE
AFTER
【症例10】上顎前突(出っ歯) 開咬 叢生
- 性別:男性
- 年齢:34歳
- 治療期間:2年9か月
- 治療内容:上顎左右第一小臼歯を抜歯。上顎左右第一小臼歯後のスペースと、以前に他院にて抜歯後放置していた左上第一大臼歯のスペースを利用し、叢生解消と出っ歯の改善を行いました。
- 費用:1,015,000円(税込)
- リスク・副作用:歯を移動すると幾分か歯根が吸収されて短くなることがあります。
また空隙が生じる場合や歯肉退縮などが生じることもあります。
BEFORE
AFTER
BEFORE
AFTER
【症例11】上顎前突(出っ歯) 過蓋咬合(深い咬み合わせ)
- 性別:女性
- 年齢:30歳
- 治療期間:1年9ヵ月
- 治療内容:前歯の噛み合わせ
出歯・過蓋咬合・非抜歯
強く非抜歯を希望されました。
マルチブラケット装置を用いて抜歯せずに咬合を拳上し、お口元を入れることができました。 - 費用:1,026,000円(税込)
- リスク・副作用:治療後は保定をしなければ後戻りする可能性があります。
歯の移動に伴う痛みを感じる場合があります。
BEFORE
AFTER
BEFORE
AFTER
【症例12】上顎前突(出っ歯)①
- 性別:女性
- 性別:22歳
- 治療期間:2年1ヵ月
- 治療内容:出っ歯を主訴に来院、
右上第一小臼歯(4番目の歯)
左上側切歯(2番目の歯)
左上乳犬歯(3番目の乳歯)の
3本を抜歯しました。
マルチブラケット装置で矯正し、気にされていたお口元の突出感が取れ、出っ歯感を改善出来ました。 - 費用:1,045,000円(税込)
- リスク・副作用:治療後の後戻り・歯根吸収・歯髄壊死・歯肉退縮が生じる場合がございます。
BEFORE
AFTER
BEFORE
AFTER
【症例13】上顎前突(出っ歯)②
- 性別:男性
- 年齢: 33歳
- 治療期間:1年10ヵ月
- 治療内容:第1小臼歯(4番目の歯)を4本抜歯し、マルチブラケット装置で矯正しました。その結果、上の出っ歯、下の前歯のデコボコが改善されました。
最も気にされていたお口元の突出感もなくなり、美しい『E-line』なりました。 - 費用:787,500円(税込)
- リスク・副作用:治療後の後戻り・歯根吸収・歯髄壊死・歯肉退縮が生じる場合がございます。
BEFORE
AFTER
BEFORE
AFTER
『E-line』とは、『Esthetic-line』の略で、鼻の頭と顎を結ぶ線のことです。E-line上に上唇下唇が位置しているのが望ましいとされています。
E-lineは美人のラインと言われています。
出っ歯の方は、E-lineに対して唇が出ており、お口を閉じることで唇の周りの筋肉が緊張し、老けて見えたり、無愛想に見えてしまいます。
BEFORE
AFTER
【症例14】上顎前突(出っ歯)③
- 性別:女性
- 年齢:20歳
- 治療期間:2年4ヵ月
- 治療内容:出っ歯+開咬 上顎左右第一小臼歯抜歯、マルチブラケット装置を使用
前歯が咬合し、きれいなE-Lineになり、口が閉じやすくなりました。発音もきれいになりました。 - 費用:1,015,000円(税込)
- リスク・副作用:治療後の後戻り・歯根吸収・歯髄壊死・歯肉退縮が生じる場合がございます。
BEFORE
AFTER
BEFORE
AFTER
BEFORE
AFTER
【症例15】上顎前突(出っ歯)④
- 性別:男性
- 年齢: 15歳
- 治療期間:3年10ヵ月
- 治療内容:上顎左右第一小臼歯のみ抜歯、マルチブラケット装置を使用
著しい出っ歯でしたが、お口元の突出感が取れ、横顔のラインがきれいになりました。 - 費用:996,000円(税込)
- リスク・副作用:治療後の後戻り・歯根吸収・歯髄壊死・歯肉退縮が生じる場合がございます。
BEFORE
AFTER
BEFORE
AFTER
【症例16】上顎前突(出っ歯)⑤
- 性別:女性
- 年齢: 40歳
- 治療期間:1年9ヶ月
- 治療内容:出っ歯とお口元の突出感を主訴にご来院されました。
抜歯するとお口元が入りすぎて、人によってはお年を召した時に年齢より上に見えてしまうことがあります。
非抜歯で、IPR(Inter Proximal Reduction=歯を削ること)せずに、マルチブラケット装置で仕上げることができました。
抜歯せずに口元突出感を解消でき、美しいE-Lineになりました。 - 費用:905,000(税込)
- リスク・副作用:治療後の後戻り・歯根吸収・歯髄壊死・歯肉退縮が生じる場合がございます。
BEFORE
AFTER
BEFORE
AFTER
【症例17】反対咬合(受け口) 非抜歯
- 性別:女性
- 年齢 :30歳
- 治療期間:1年10ヵ月
- 治療内容:この症例は抜歯していません。非抜歯でマルチブラケット装置にて治療しました。
- 費用:840,000円(税込)
- リスク・副作用:治療後の後戻り・歯根吸収・歯髄壊死・歯肉退縮が生じる場合がございます。
BEFORE
AFTER
BEFORE
AFTER
【症例18】反対咬合(受け口) 抜歯①
- 性別:女性
- 年齢:17歳
- 治療期間:2年4ヵ月
- 治療内容:外科矯正か通常の矯正治療かのボーダーケースでしたが、右下第1小臼歯(4番目の歯)のみ抜歯し、
外科矯正をせずマルチブラケット装置にて治療できました。
顎間ゴム装着の協力度の良い患者さまで、とても頑張られました。 - 費用:996,000円(税込)
- リスク・副作用:歯の移動に伴う歯の痛みや歯ブラシが不十分であると虫歯や歯肉炎を起こす危険性があり、
治療後の後戻りにも注意が必要です。
BEFORE
AFTER
BEFORE
AFTER
【症例19】反対咬合(受け口) 抜歯②
- 性別:女性
- 年齢:38歳
- 治療期間:2年5ヵ月
- 治療内容:外科矯正か通常の矯正治療かのボーダーケースでしたが、上は抜歯せず、下の左右第一小臼歯(4番目の歯)のみ抜歯し、外科矯正をせずマルチブラケット装置にて治療できました。
矯正治療のみで、こんなに美しい横顔になりました。
さらに9年後も安定しています。 - 費用:787,500円(税込)
- リスク・副作用:歯の移動に伴う歯の痛みや歯ブラシが不十分であると虫歯や歯肉炎を起こす危険性があり、
治療後の後戻りにも注意が必要です。
BEFORE
AFTER
動的治療終了後9年後
BEFORE
AFTER
動的治療終了後9年後
【症例20】空隙歯列(すきっ歯)
- 性別:女性
- 年齢:22歳
- 治療期間:2年
- 治療内容:非抜歯でマルチブラケット装置にて治療しました。
すきっ歯でお悩みでしたが、スペースはすべて閉じ、本来の美しさを取り戻しました。 - 費用:787,500円(税込)
- リスク・副作用:歯の移動に伴う歯の痛みや歯ブラシが不十分であると虫歯や歯肉炎を起こす危険性があり、
治療後の後戻りにも注意が必要です。
BEFORE
AFTER
【症例21】結婚式に合わせた治療
- 性別:女性
- 年齢:26歳
- 治療期間:7ヵ月
- 治療内容:非抜歯でマルチブラケット装置にて治療しました。
7ヵ月後に結婚式を控えており、「結婚式までに前歯の歯並びを治したい。虫歯を治療し歯を白くきれいにしてほしい」とご希望されていました。 - 費用:770,000円(税込)
- リスク・副作用:歯の移動に伴う歯の痛みや歯ブラシが不十分であると虫歯や歯肉炎を起こす危険性があり、
治療後の後戻りにも注意が必要です。
BEFORE
AFTER
【症例22】過蓋咬合(深すぎる噛み合わせ)
- 性別:女性
- 年齢:27歳
- 治療期間:2年2ヵ月
- 治療内容:治療前は顎関節症の症状をお持ちでしたが、マルチブラケット装置で矯正したことで、噛み合わせが良くなり、顎関節症が改善され、美しい歯並びになりました。
- 費用:787,500円(税込)
- リスク・副作用:歯の移動に伴う歯の痛みや歯ブラシが不十分であると虫歯や歯肉炎を起こす危険性があり、
治療後の後戻りにも注意が必要です。
BEFORE
AFTER
【症例23】インプラントと矯正の併用①
- 性別:女性
- 年齢:28歳
- 治療期間:2年2ヵ月
- 治療内容:歯周病で左上中切歯(前歯)が抜けており、左上犬歯は先天欠如、左上乳犬歯が残存している叢生の症例です。左上乳犬歯を抜歯し、歯周病の治療と同時にマルチブラケット装置で全体的な矯正治療を行ない、矯正治療終了後、左上中切歯と左上犬歯の欠損部に、2本インプラントを装着しました。
- 費用:967,500円(税込)
※インプラント埋入費用も含む - リスク・副作用:歯の移動に伴う歯の痛みや歯ブラシが不十分であると虫歯や歯肉炎を起こす危険性があり、
治療後の後戻りにも注意が必要です。
インプラントを顎骨に外科手術が必要になります。
手術後にインプラントの埋入部分を清潔に保たなければ、インプラント周囲炎等の感染を起こす場合があります。
また、ごく稀にインプラントが折れることや外れてしまうこともあります。
BEFORE
AFTER
BEFORE
AFTER
【症例24】インプラントと矯正の併用②
- 性別:男性
- 年齢:30歳
- 治療期間:1年7ヵ月
- 治療内容:歯周病で上の左右中切歯(前歯)が揺れていて抜けそうな状態であり、保存不可能と診断しました。
抜歯後、治療用の義歯を装着し、歯周病を治療しながらマルチブラケット装置にて全体的な矯正治療を行ないました。
矯正治療終了後、上の左右中切歯にインプラントを装着しました。 - 費用:787,500円(税込)
※インプラント埋入費用も含む - リスク・副作用:歯の移動に伴う歯の痛みや歯ブラシが不十分であると虫歯や歯肉炎を起こす危険性があり、
治療後の後戻りにも注意が必要です。
インプラントを顎骨に埋入するために外科手術が必要になります。
手術後にインプラントの埋入部分を清潔に保たなければ、インプラント周囲炎等の感染を起こす場合があります。
また、ごく稀にインプラントが折れることや外れてしまうこともあります。
BEFORE
AFTER
総合的な治療 歯周病治療+インプラント+矯正治療
上顎両側中切歯は著しい歯周病のため、保存不可能と診断。
抜歯当日に、準備していた治療用義歯を装着したため、前歯がないという状態はありませんでした。矯正治療と同時進行で歯周病の治療も行いました。矯正治療終了直前に、上顎中切歯部に2本インプラントを装着いたしました。
前歯2本をインプラントにしました。見た目、咬み合わせとも良好に。
【症例25】インプラントと矯正の併用③(反対咬合(受け口) 叢生 左下第二小臼歯先天欠如)
- 性別:男性
- 年齢:19歳
- 治療期間:2年6か月
- 治療内容:残存していた左下第二乳臼歯のみ抜歯 矯正治療終了後に左下第二小臼歯部にインプラント
- 費用:935,000円(税込)+インプラント385,000円(税込)
- リスク・副作用:歯を移動すると幾分か歯根が吸収されて短くなることがあります。
また空隙が生じる場合や歯肉退縮などが生じることもあります。
BEFORE
AFTER
BEFORE
AFTER
【症例26】開咬 叢生 空隙 (他院からの再治療)
- 性別:女性
- 年齢:35歳
- 治療期間:2年2か月
- 治療内容:他院の矯正治療の後戻りの再治療(非抜歯)
- 費用:1,015,000円(税込)
- リスク・副作用:歯を移動すると幾分か歯根が吸収されて短くなることがあります。
また空隙が生じる場合や歯肉退縮などが生じることもあります。
BEFORE
AFTER
BEFORE
AFTER
【症例27】開咬(前歯が咬み合わない状態)①
- 性別:女性
- 年齢:24歳
- 治療期間:2年2ヵ月
- 治療内容:こちらの症例は下顎のみ抜歯しています。舌癖があったため、MFT(舌拳上指導)を併用し、下顎左右第一小臼歯を抜歯し、マルチブラケット装置で治療を行いました。舌癖の改善が認められ、前歯で咬む事が出来るようになりました。お口元の突出感も改善されました。
- 費用:1,026,000円(税込)
- リスク・副作用:歯の移動に伴う歯の痛みや歯ブラシが不十分であると虫歯や歯肉炎を起こす危険性があり、
治療後の後戻りにも注意が必要です。
BEFORE
AFTER
BEFORE
AFTER
【症例28】開咬(前歯が咬み合わない状態)②
- 性別:女性
- 年齢:26歳
- 治療期間:2年4ヵ月
- 治療内容:上顎左右第一小臼歯のみ抜歯。マルチブラケット装置で治療。
- 費用:1,026,000円(税込)
- リスク・副作用:歯の移動に伴う歯の痛みや歯ブラシが不十分であると虫歯や歯肉炎を起こす危険性があり、
治療後の後戻りにも注意が必要です。
BEFORE
AFTER
BEFORE
AFTER
【症例29】外科矯正
- 性別:女性
- 年齢:32歳
- 治療期間:2年11ヵ月(術前矯正・手術・術後矯正すべて含む)
- 治療内容:噛み合わせが反対咬合になっており、下顎が長いことを気にされていました。通常の矯正治療だけでは噛み合わせが整わないため、外科矯正が必要と診断しました。外科矯正を行ない、上の左右4のみ抜歯しています。
このような方には、矯正治療と共に顎の長さを変える外科手術を併用します。 - リスク・副作用:歯の移動に伴う歯の痛みや歯ブラシが不十分であると虫歯や歯肉炎を起こす危険性があり、
治療後の後戻りにも注意が必要です。
BEFORE
AFTER
【症例30】埋伏歯(顎骨に埋まったままの歯)
- 性別:女性
- 年齢:14歳
- 治療期間:1年11ヵ月(当院での治療期間。他院での治療期間は不明)
- 治療内容:1本生えてこない歯があり、お口の中の衛生状態も悪いため、心配になり来院されました。
3DのCTにより牽引(けんいん:引っ張ること)可能と診断したので、マルチブラケット装置をつけ、開窓術を行なって埋伏歯をお口の中に牽引しました。
数年動かない埋伏歯は、何もしないで待っているだけでは生えてきません。3DのCTで埋伏歯の状態や近隣の歯との位置関係を把握し、牽引するに値する歯であるかどうかを精査する必要があります。そして、牽引可能と診断したうえで牽引します。 - 費用:787,500円(税込)
- リスク・副作用:歯の移動に伴う歯の痛みや歯ブラシが不十分であると虫歯や歯肉炎を起こす危険性があり、
治療後の後戻りにも注意が必要です。
BEFORE
AFTER
【症例31】異所萌出(上顎第二小臼歯が口蓋側に転位、捻転した叢生症例)
- 性別:女性
- 年齢:11歳
- 治療期間:3年
- 治療内容:上の左右第二小臼歯(5番目の歯)が大きく捻転し、口蓋部分に転位していました。非抜歯でマルチブラケット装置にて治療しました。
- 費用:864,000円(税込)
- リスク・副作用:歯の移動に伴う歯の痛みや歯ブラシが不十分であると虫歯や歯肉炎を起こす危険性があり、
治療後の後戻りにも注意が必要です。
BEFORE
AFTER
リスク・副作用
- 矯正治療の一般的な治療費は60万~150万円、一般的な治療期間は2~3年、一般的な治療回数は24~36回となります。使用する装置、症状や治療の進行状況などにより変化しますので、参考程度にお考えいただき、詳細は歯科医師にご確認ください。
- 機能性や審美性を重視するため、公的健康保険対象外の自費診療となり、保険診療よりも高額になります。
- 最初は矯正装置による不快感、痛みなどがあります。数日から1~2週間で慣れることが多いです。
- 治療期間は症例により異なりますが、成人矯正や永久歯がすべて生えそろっている場合は、一般的に1年半~3年を要します。小児矯正においては、混合歯列期(乳歯と永久歯が混在する時期)に行なう第1期治療で1~2年、永久歯がすべて生えそろったあとに行なう第2期治療で1~2年半を要することがあります。
- 歯の動き方には個人差があるため、治療期間が予想より長期化することがあります。
- 装置や顎間ゴムの扱い方、定期的な通院など、矯正治療では患者さまのご協力がたいへん重要であり、それらが治療結果や治療期間に影響します。
- 治療中は、装置がついているため歯が磨きにくくなります。虫歯や歯周病のリスクが高まるので、丁寧な歯磨きや定期メンテナンスの受診が大切です。また、歯が動くことで見えなかった虫歯が見えるようになることもあります。
- 歯を動かすことにより歯根が吸収され、短くなることがあります。また、歯肉が痩せて下がることがあります。
- ごくまれに、歯が骨と癒着していて歯が動かないことがあります。
- ごくまれに、歯を動かすことで神経に障害を与え、神経が壊死することがあります。
- 治療中に金属などのアレルギー症状が出ることがあります。
- 治療中に、「顎関節で音が鳴る、顎が痛い、口をあけにくい」などの顎関節症状が出ることがあります。
- 問題が生じた場合、当初の治療計画を変更することがあります。
- 歯の形状の修正や、噛み合わせの微調整を行なうことがあります。
- 矯正装置を誤飲する可能性があります。
- 装置を外すときに、エナメル質に微小な亀裂が入る可能性や、補綴物(被せ物など)の一部が破損することがあります。
- 装置を外したあと、保定装置を指示どおりに使用しないと後戻りが生じる可能性が高くなります。
- 装置を外したあと、現在の噛み合わせに合わせて補綴物(被せ物など)の作製や虫歯治療などをやり直す可能性があります。
- 顎の成長発育により、歯並びや噛み合わせが変化する可能性があります。
- 治療後に、親知らずの影響で歯並びや噛み合わせが変化する可能性があります。
- 加齢や歯周病などにより、歯並びや噛み合わせが変化することがあります。
- 矯正治療は、一度始めると元の状態に戻すことが難しくなります。
- 機能性や審美性を重視するため、公的健康保険対象外の自費診療となり、保険診療よりも高額になります。
- 正しい装着方法で1日20時間以上使用しないと、目標とする治療結果を得られないことがあるため、きちんとした自己管理が必要になります。
- ご自身で取り外せるため、紛失することがあります。
- 症状によっては、マウスピース型矯正装置(インビザライン)で治療できないことがあります。
- お口の中の状態によっては、治療計画どおりの結果が得られないことがあります。
- 装着したまま糖分の入った飲料をとると、虫歯を発症しやすくなります。
- 治療によって、まれに歯根吸収や歯肉退縮が起こることがあります。
- 食いしばりの癖が強い方の場合、奥歯が噛まなくなることがあります。
- 治療途中で、ワイヤーを使う治療への変更が必要になることがあります。
- お口の状態によっては、マウスピース型矯正装置(インビザライン)に加え、補助矯正装置が必要になることがあります。
- 治療完了後は後戻りを防ぐため、保定装置の装着が必要になります。
- 薬機法(医薬品医療機器等法)においてまだ承認されていない医療機器です。日本では完成物薬機法対象外の装置であり、医薬品副作用被害救済措置の対象外となることがあります。
当院でご提供している「マウスピース型矯正装置(インビザライン)」は、薬機法(医薬品医療機器等法)においてまだ承認されていない医療機器となりますが、当院ではその有効性を認め、導入しています。
- 未承認医療機器に該当
薬機法上の承認を得ていません(独立行政法人 医薬品医療機器総合機構ウェブサイトにて2025年5月30日最終確認)。 - 入手経路等
アライン・テクノロジー社、インビザライン・ジャパン株式会社より入手しています。 - 国内の承認医療機器等の有無
国内では、マウスピース型矯正装置(インビザライン)と同様の性能を有した承認医療機器は存在しない可能性があります(独立行政法人 医薬品医療機器総合機構ウェブサイトにて2025年5月30日最終確認)。 - 諸外国における安全性等にかかわる情報
情報が不足しているため、ここではマウスピース型矯正装置(インビザライン)の諸外国における安全性等にかかわる情報は明示できません。今後重大なリスク・副作用が報告される可能性があります。 - 医薬品副作用被害救済制度・生物由来製品感染等被害救済制度の救済対象外
国内で承認を受けて製造販売されている医薬品・医療機器(生物由来等製品である場合に限る)・再生医療等製品による副作用やウイルス等による感染被害で、万が一健康被害があったとき、「医薬品副作用被害救済制度」「生物由来製品感染等被害救済制度」などの公的な救済制度が適用されますが、未承認医薬品・医療機器・再生医療等製品の使用は救済の対象にはなりません。また、承認を受けて製造販売されている医薬品・医療機器・再生医療等製品であっても、原則として決められた効能・効果、用法・用量および使用上の注意に従って使用されていない場合は、救済の対象にはなりません。
日本では、完成物薬機法対象外の矯正装置であり、医薬品副作用被害救済制度の対象外となります。※当該未承認医薬品・医療機器を用いた治療の広告に対する注意事項の情報の正確性について、本ウェブサイトの関係者は一切責任を負いません。
- 機能性や審美性を重視するため、公的健康保険対象外の自費診療となり、保険診療よりも高額になります。
- 固定式のものは、ご自身では取り外せません。
- 装置後1週間ほどは、発音・嚥下時に違和感を覚えるほか、鼻や口もとにツンとした痛みを感じることがあります。
- この装置をつけた歯とその周辺の歯に痛みが生じることがあります。また、口内炎を発症することがあります。
- 歯列が横に広がることで、一時的に前歯にすき間が生じることがありますが、時間の経過とともに自然に閉じてきます。
- お子さまが治療に協力的でない場合、良好な治療結果を得られないことがあります。
- 取り外し式のものは、毎日の装着を怠ると、良好な治療結果を得られないことがあります。
- 食べ物が装置につきやすく、歯を磨きにくくなります。とくにワイヤーやねじの部分に汚れが溜まりやすいので、仕上げ磨きをするなどご家族のサポートが必要になることがあります。
- 固定式ものは、歯磨きがきちんとできていないと虫歯を発症するリスクが高まります。
- 生涯良好な歯並びであることを保証する治療ではありません。治療後、成長により不正咬合が現れることがあります。
- 正しい使い方ができていないと、かえって悪い歯並びになってしまうことがあります。
- この装置だけで、お口周りの問題をすべて解決できるわけではありません。
- ワイヤーの弾力を利用して、内側に傾斜した歯を前に押し出す装置です。
- 機能性や審美性を重視するため、公的健康保険対象外の自費診療となり、保険診療よりも高額になります。
- 大臼歯(奥歯)にセメントで固定するので、自分で取り外せません。食事や歯磨きは装置をつけたまま行ないます。
- 最初は違和感がありますが、数日で慣れることが多いです。
- 装置がついているため歯を磨きにくくなり、むし歯や歯周病のリスクが高まるので、丁寧に歯をみがく必要があります。
- ワイヤーが細いため、装置に詰まった食べ物を無理に取ろうとすると、歪みや破損の原因になります。
- 治療に金属などのアレルギー症状が出ることがあります。
- 機能性や審美性を重視するため自費(保険適用外)での診療となり、保険診療よりも高額になります。
- インプラントの埋入にともない、外科手術が必要となります。
- 高血圧症、心臓疾患、喘息、糖尿病、骨粗鬆症、腎臓や肝臓の機能障害などがある方は、治療を受けられないことがあります。
- 手術後、痛みや腫れが現れることがありますが、ほとんどの場合1週間ほどで治ります。
- 手術後、歯肉・舌・唇・頬の感覚が一時的に麻痺することがあります。また、顎・鼻腔・上顎洞(鼻腔の両側の空洞)の炎症、疼痛、組織治癒の遅延、顔面部の内出血が現れることがあります。
- 手術後、薬剤の服用により眠気、めまい、吐き気などの副作用が現れることがあります。
- 手術後、喫煙や飲酒をすると治療の妨げとなるので、1週間は控えてください。
- インプラントの耐用年数は、口腔内の環境(骨・歯肉の状態、噛み合わせ、歯磨きの技術、メンテナンスの受診頻度、喫煙の有無など)により異なります。
- 毎日の清掃が不十分だった場合、インプラント周囲炎(歯肉の腫れや骨吸収など)を引き起こすことがあります。
- 公的健康保険対象となる使用方法と、公的健康保険対象外の自費診療となる使用方法があり、自費診療となる場合は保険診療よりも高額になります。
- 骨と化学的な結合をしないため、患者さまの骨の状態や口腔衛生状態によっては脱落することがあります。
- 脱落した場合は再埋入を行なうことがあります。脱落部分の骨の穴が回復するまで数ヵ月の時間を要するため、別の部分に埋め込むことがあります。
- 歯科矯正用アンカースクリューは骨に埋まっていますが、その頭部は歯肉の外にあるため、ケアを怠ると骨に感染することがあります。
- 歯科矯正用アンカースクリューは歯根の間に埋入されることが多いため、埋入時に歯根を傷つけることがあります。
- 歯と歯の間の隙間を少し削ることで歯列を整えるための矯正治療の一手法です。
- IPR・ディスキングは矯正治療の一手法として行ないます。矯正治療は公的健康保険対象外の自費診療となり、保険診療よりも高額になります。
- 歯の痛みや違和感を感じる場合があります。
- エナメル質は一度削ると再生しないため、必要以上のIPR・ディスキングは避ける必要があります。
- IPR・ディスキングを行った部分に、わずかな変色が見られることがあります。
- IPR・ディスキングを行っても、歯並びが再び乱れる可能性があります。
- お口周りの筋肉を正常に機能させるためのトレーニングです。
- 機能的・審美的に仕上げるための治療なので、自費(保険適用外)での診療となり、保険診療よりも高額になります。
- お子さまが治療に協力的でない場合、良好な治療結果を得られないことがあります。
- MFT(口腔筋機能療法)だけで、お口周りの問題をすべて解決できるわけではありません。
- MFT(口腔筋機能療法)を行なったからといって、将来矯正治療をせずに済むとは限りません。


